Doku Zedelenmesi Belirtileri ve Tedavisi
Doku zedelenmesi, yaralanma veya travma sonucu vücut dokularında meydana gelen hasarlardır. Bu durum, çeşitli doku türlerinde farklı belirtilerle kendini gösterir. Tedavi yöntemleri zedelenmenin türüne göre değişiklik gösterirken, önleme yöntemleri de yaralanma riskini azaltmaya yöneliktir.
Doku zedelenmesi, bir yaralanma veya travma sonucunda vücut dokularının hasar görmesi durumudur. Bu tür zedelenmeler, cilt, kas, sinirler ve iç organlar dahil olmak üzere çeşitli dokularda meydana gelebilir. Doku zedelenmeleri, genellikle ağrı, şişlik ve fonksiyon kaybı gibi belirtilerle kendini gösterir. Bu makalede, doku zedelenmesinin belirtileri, türleri ve tedavi yöntemleri üzerinde durulacaktır. Doku Zedelenmesi TürleriDoku zedelenmeleri, genel olarak üç ana kategoriye ayrılabilir:
BelirtilerDoku zedelenmesinin belirtileri, zedelenmenin türüne ve ciddiyetine bağlı olarak değişiklik göstermektedir. Yaygın belirtiler şunlardır:
Tedavi YöntemleriDoku zedelenmesinin tedavi yöntemleri, zedelenmenin türüne ve ciddiyetine bağlı olarak değişiklik göstermektedir. Genel tedavi yöntemleri şunlardır:
Önleme YöntemleriDoku zedelenmelerini önlemek için aşağıdaki yöntemler uygulanabilir:
SonuçDoku zedelenmesi, çeşitli nedenlerle meydana gelebilecek bir durumdur. Belirtilerinin anlaşılması ve uygun tedavi yöntemlerinin uygulanması, iyileşme sürecini hızlandıracaktır. Doku zedelenmelerinin önlenmesi için ise dikkatli olmak ve uygun önlemleri almak oldukça önemlidir. Gerekli durumlarda bir sağlık profesyoneline başvurmak, doğru bir teşhis ve tedavi süreci için kritik öneme sahiptir. |



































Doku zedelenmesi sürecinde yaşanan ağrı ve şişlik, günlük yaşamı oldukça olumsuz etkileyebilir. Belde doku zedelenmesi durumunda, hareket kısıtlılığı ve tedavi yöntemlerinin uygulanması önemlidir. Bu belirtilerle başa çıkmak için dinlenme ve buz uygulaması gibi basit yöntemler faydalı olabilir.
Doku Zedelenmesi ve Belirtiler
Merhaba Pelinsu, doku zedelenmesi sürecinin getirdiği ağrı ve şişlik gerçekten de günlük yaşamı zorlaştıran durumlar. Bu tür rahatsızlıklar, hareket kısıtlılığına yol açarak hayat kalitemizi etkileyebiliyor.
Tedavi Yöntemleri
Dinlenme ve buz uygulaması gibi basit yöntemlerin yanı sıra, fizik tedavi ve egzersiz programları da iyileşme sürecine katkıda bulunabilir. Uzman bir sağlık profesyonelinin yönlendirmesiyle, bu süreç daha etkili bir şekilde yönetilebilir.
Önemli Noktalar
Ağrı ve şişlik ile başa çıkmak için günlük aktiviteleri düzenlemek ve gerektiğinde destek almak da oldukça önemlidir. Unutmayın ki, erken müdahale ve doğru tedavi yöntemleri ile iyileşme süreci hızlanabilir. Kendinize dikkat edin!
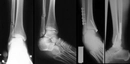
Ayak ezilmesi geçiren biri olarak, iyileşme sürecim oldukça zorlu geçti. Şişlik ve ağrı ile başa çıkmak zorundaydım. Genel olarak ayak ezilmesi kaç günde geçer diye merak ediyorum, çünkü bu durumun süresi kişiden kişiye değişiyor gibi görünüyor.
İstem,
Ayak Ezilmesinin İyileşme Süreci
Ayak ezilmesi, gerçekten zorlu bir deneyim olabilir. İyileşme süresi birçok faktöre bağlı olarak değişiklik göstermektedir. Genellikle, hafif ezilmelerde birkaç gün içerisinde iyileşme sağlanabilirken, daha ciddi durumlarda bu süre bir hafta veya daha uzun sürebilir.
İyileşme Sürecini Etkileyen Faktörler
Yaş, genel sağlık durumu, yaralanmanın ciddiyeti ve tedavi yöntemleri gibi etkenler iyileşme sürecini etkileyebilir. Ayrıca, dinlenme, buz uygulama ve gerekirse fizik tedavi gibi yöntemler de iyileşme sürecini hızlandırabilir.
Uzman Görüşü
Eğer belirtileriniz geçmiyorsa veya kötüleşiyorsa, bir sağlık uzmanına danışmanız önemlidir. Onlar, durumunuza özel bir değerlendirme yaparak daha doğru bilgiler verebilir.
Geçmiş olsun dileklerimi iletiyorum. Umarım en kısa sürede sağlığınıza kavuşursunuz.
Doku zedelenmesi yaşayan birisi olarak, yumuşak doku zedelenmesi ilaçları hakkında bilgi almak istiyorum. Özellikle bu tür yaralanmalar için hangi ilaçların etkili olduğu ve ne zaman kullanılmaları gerektiği önemli. Ayrıca, bu ilaçların yan etkileri nelerdir?
Doku Zedelenmesi ve İlaçlar
Edim, yumuşak doku zedelenmeleri genellikle kas, tendon ve bağ dokularında meydana gelen yaralanmalardır. Bu tür yaralanmalar için çeşitli ilaçlar ve tedavi yöntemleri bulunmaktadır.
İlaç Türleri
1. Ağrı Kesiciler: Non-steroidal anti-inflamatuar ilaçlar (NSAID'ler) genellikle ağrı ve iltihaplanmayı azaltmak için kullanılır. Örneğin, ibuprofen veya naproksen bu gruptadır.
2. Kas Gevşeticiler: Kas spazmlarını azaltmak için kullanılabilir. Baclofen veya tizanidin gibi ilaçlar bu amaçla tercih edilebilir.
3. Topikal Kremler: Yaralanma bölgesine uygulanan ağrı kesici veya anti-inflamatuar kremler de mevcuttur. Diclofenac jel bu tür bir örnektir.
Kullanım Zamanı
İlaçların kullanımı, yaralanmanın ciddiyetine ve belirtilere göre değişir. Genel olarak, başlangıçta ağrı ve şişlik varsa NSAID'ler ile tedaviye başlanabilir. Kas spazmları varsa kas gevşeticiler devreye girebilir. Topikal kremler, belirtiler hafif olduğunda veya lokalize ağrı varsa etkili olabilir.
Yan Etkiler
İlaçların yan etkileri kişiden kişiye değişebilir. NSAID'lerin yan etkileri arasında mide rahatsızlıkları, böbrek sorunları ve kanama riskinin artması sayılabilir. Kas gevşeticilerin ise baş dönmesi, uyku hali ve bağımlılık potansiyeli gibi yan etkileri olabilir. Topikal kremlerin yan etkileri genellikle lokal alerjik reaksiyonlar şeklinde ortaya çıkabilir.
Herhangi bir ilaç kullanmadan önce mutlaka bir sağlık profesyoneline danışmanız önemlidir. Geçmişte yaşadığınız yaralanma ve genel sağlık durumunuz, hangi ilaçların uygun olacağını belirlemede önemli rol oynar. Geçmiş olsun!
Doku zedelenmeleri gerçekten can sıkıcı bir durum. Yumuşak doku zedelenmesi nasıl geçer konusunda bilgi almak istiyorum. Dinlendirme ve buz uygulaması dışında neler yapabilirim? Fizik tedavi süreci nasıl işliyor? Bu konuda deneyimlerinizi paylaşabilir misiniz?
Doku Zedelenmeleri ve İyileşme Süreci
Akil, yumuşak doku zedelenmeleri gerçekten de can sıkıcı bir durumdur ve iyileşme süreci sabır gerektirebilir. Dinlendirme ve buz uygulaması dışında, iyileşmeyi destekleyecek birkaç yöntem daha bulunmaktadır.
İlaç Kullanımı
Ağrı ve şişliği azaltmak için anti-inflamatuar ilaçlar kullanabilirsiniz. Ancak, bu ilaçları kullanmadan önce mutlaka bir doktora danışmalısınız.
Fizik Tedavi
Fizik tedavi süreci, zedelenen bölgenin durumuna göre şekillenir. Fizik tedavi uzmanı, size özel bir egzersiz programı hazırlayarak, hareket kabiliyetinizi artırmayı ve kas gücünüzü geri kazandırmayı hedefler. İlk aşamalarda pasif hareketler uygulanabilirken, ilerleyen dönemlerde aktif egzersizler ve güçlendirme çalışmaları yapılır.
Masaj ve Manuel Terapi
Masaj, kan akışını artırarak iyileşmeyi hızlandırabilir. Manuel terapi teknikleri de ağrıyı azaltma ve hareketliliği artırma konusunda faydalı olabilir.
Isı Uygulamaları
Buz uygulamasının ardından, iyileşme sürecinde ısı terapisi de kullanılabilir. Isı, kasların gevşemesine ve kan akışının artmasına yardımcı olur.
Beslenme ve Takviyeler
Yeterli ve dengeli beslenmek, vücudun iyileşme sürecine katkı sağlar. Özellikle protein alımına dikkat etmek, kasların yeniden yapılandırılmasına yardımcı olur. Ayrıca, omega-3 yağ asitleri ve C vitamini gibi takviyeler de iyileşmeyi destekleyebilir.
Son olarak, her bireyin iyileşme süreci farklıdır; bu yüzden, doktorunuzun ve fizik tedavi uzmanınızın önerilerine uymanız oldukça önemlidir. Geçmiş olsun!
Kolda doku zedelenmesi yaşadıktan sonra ne yapmalıyım? Morarma ve şişlik oluştu, bu normal mi? Ayrıca, bu tür bir zedelenmenin iyileşme süresi ne kadar sürer? Spor yaparken bu durumdan nasıl korunabilirim? Tecrübelerinizle yardımcı olursanız sevinirim.
Kolda Doku Zedelenmesi Sonrası Yapılması Gerekenler
Eğer kolda doku zedelenmesi yaşadıysanız, öncelikle bölgeyi dinlendirmelisiniz. Morarma ve şişlik normal bir tepki olabilir, ancak bu belirtiler şiddetliyse bir sağlık profesyoneline danışmanızda fayda var.
Morarma ve Şişlik Normal Mi?
Evet, zedelenme sonrası morarma ve şişlik sıkça görülen durumlardır. Bunun nedeni, kan damarlarının hasar görmesi ve sıvı birikmesidir. Ancak, bu belirtiler uzun sürerse veya ağrı artarsa, bir doktora görünmelisiniz.
İyileşme Süresi
İyileşme süresi, zedelenmenin ciddiyetine bağlı olarak değişir. Hafif bir zedelenme genellikle birkaç günde iyileşirken, daha ciddi yaralanmalar birkaç hafta alabilir.
Spor Yaparken Korunma Yöntemleri
Spor yaparken korunmak için ısınma hareketlerini atlamamalı, uygun ekipman kullanmalı ve tekniklerinizi doğru bir şekilde uygulamalısınız. Ayrıca, aşırı zorlamalardan kaçınmak önemlidir.
Eğer zedelenmenizin durumu hakkında daha fazla endişeniz varsa, mutlaka bir uzmana danışmalısınız. Geçmiş olsun!
Doku zedelenmesi yaşayan biri olarak şu morarmalar ve şişlikler ne kadar sürede geçer? Soğuk buz kompresi gerçekten etkili mi, yoksa başka bir şey daha yapmamı gerekir mi? Çünkü spor yaparken başıma geldi ve şu an epey rahatsızım.
Merhaba Özten,
Morarmalar ve şişlikler genellikle 1-2 hafta içerisinde geçer. Ancak bu süre kisiden kisiye değişebilir. Soğuk buz kompresi, ilk 48 saat içerisinde uygulandığında şişmeyi azaltmak için çok etkili olabilir. 20 dakikada bir uygulamanız yeterli olacaktır.
Ek olarak, dinlenmek ve yaralanmış bölgeyi yükselterek tutmak da iyileşmeyi hızlandırabilir. Ağrılarınız devam ederse veya morarma ve şişlik azalmazsa, bir doktora görünmenizde fayda var.
Geçmiş olsun!